Hervorragende Zahnästhetik: Vorher-Nachher-Transformationen in Rapperswil-Jona
Vorher-Nachher: Erfolgsgeschichten in der Zahnbehandlung
Erleben Sie beeindruckende Transformationen unserer Patienten durch unsere professionelle Zahnästhetik und hochmoderne Behandlungen.

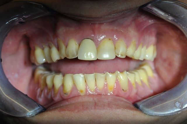
Frontzahn vorher

Krone eingesetzt

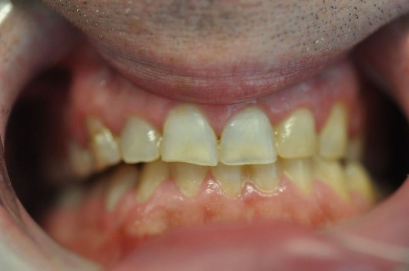
Vorher Klebebrücke front

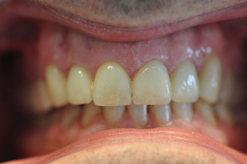
Nachher Brücke front

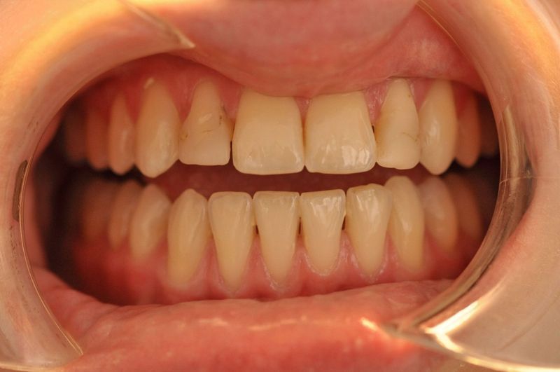
Vorher

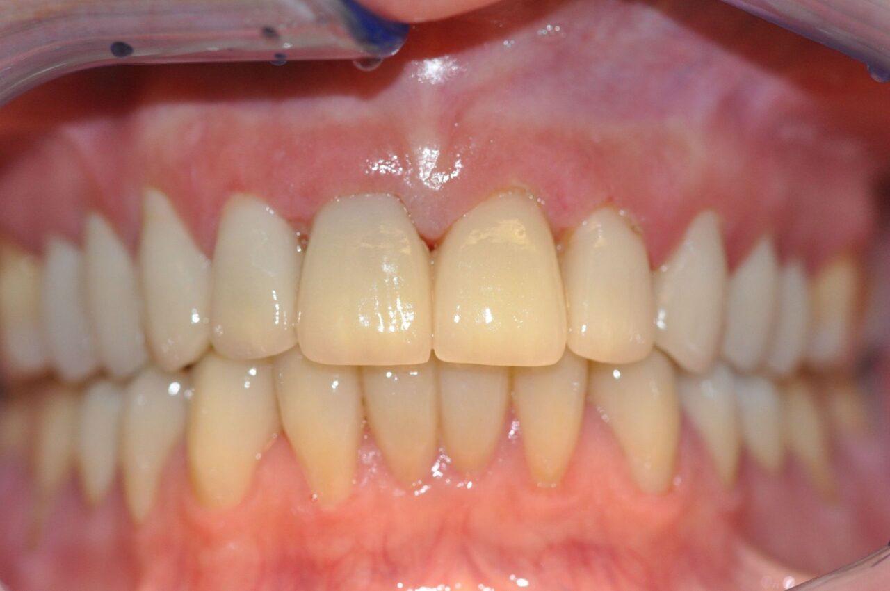
Nachher

Frontzähne vorher

Frontzähne mit Veneer

Füllungen Oberkiefer Front vorher

Füllungen Oberkiefer Front nachher

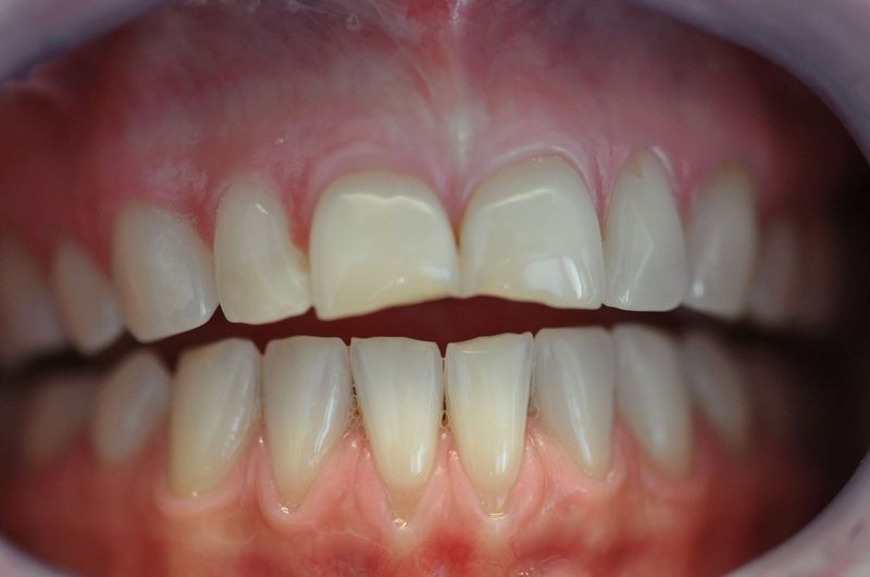
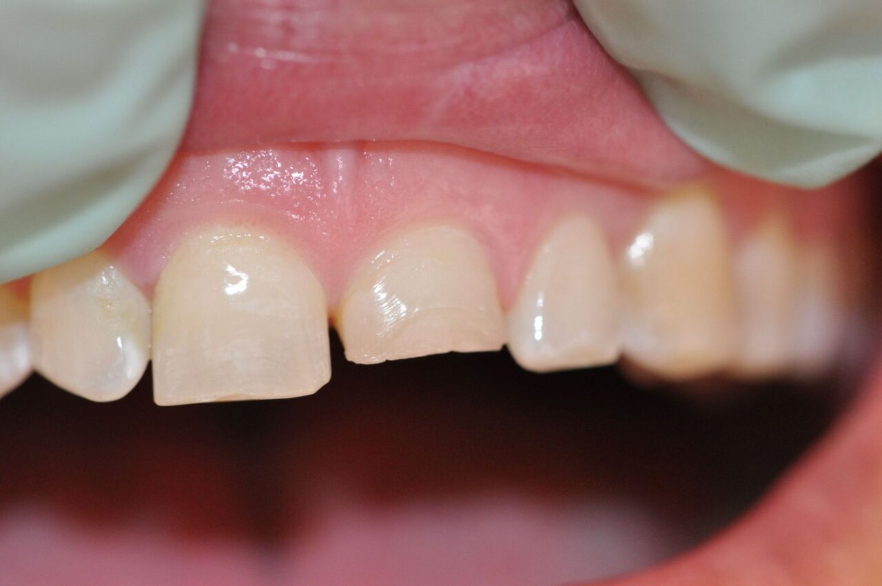
Frontzahn abgebrochen

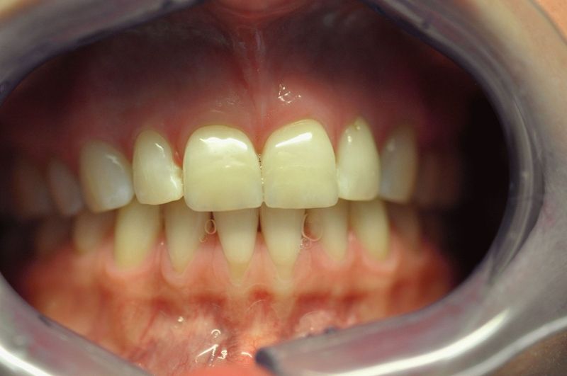
Frontkrone

Oberkiefer Prothese

Teleskopkronen

Erosionen

Kronenversorgung

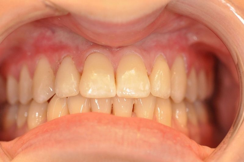
Vorher

Nachher
Entdecken Sie Ihr strahlendes Lächeln bei uns – vereinbaren Sie noch heute einen Termin!
Entdecken Sie Ihr strahlendes Lächeln bei uns – vereinbaren Sie noch heute einen Termin.
